الأحد, 9 نوفمبر 2025 09:50 AM

مشفى المشرق في طرطوس يحقق إنجازاً طبياً بإنقاذ حياة طفل مصاب بداء الأغشية الهلامية

مشفى المشرق في طرطوس يحقق إنجازاً طبياً بإنقاذ حياة طفل مصاب بداء الأغشية الهلامية

تمكن فريق طبي متخصص في مشفى المشرق بطرطوس من تحقيق إنجاز طبي استثنائي بإنقاذ حياة طفل صغير كان يعاني من داء الأغشية الهلامية، وهي حالة نادرة ومعقدة تتطلب خبرة طبية عالية.

يعود هذا النجاح إلى تكامل جهود الأطباء والجراحين وفريق العناية الفائقة في قسم الحواضن، الذين عملوا بتفانٍ وباستخدام أحدث التقنيات الطبية والمعايير العالمية في التشخيص والعلاج. وقد أعطى هذا الإنجاز أملاً جديداً لعائلة الطفل وللعديد من العائلات التي تواجه تحديات مماثلة.

بدأت القصة عندما راجعت المريضة (ر. ز.) عيادة د.ريم علي، أخصائية النسائية في مشفى المشرق، بتاريخ ٢٠٢٥/٨/٥، بسبب قلة حركة الجنين وتطور مخاض مبكر. تقرر إجراء عملية قيصرية إسعافية في قسم العمليات بالمشفى، وكان عمر الحمل (٣٦-٣٧ أسبوعاً). كانت حالة المريضة متابعة من قبل د.ريم سابقاً، وكانت الأم تعاني من علامات ولادة مبكرة قبل أسبوعين، حيث تم إجراء متابعة نسائية يومية مع إعطاء الأم إبر الكورتيزون لإنضاج رئة الجنين.

استقبل الوليد د.منار محسن محمد (أخصائية الأطفال) و د. رفيدة فتوح (طبيبة التخدير)، وتم إجراء الإنعاش الروتيني بنجاح (بكاء وصراخ فعال ومقوية جيدة). بعد الولادة مباشرة، ظهرت على الطفل زرقة وأنين مع طحة وعلامات صعوبة تنفس، وتقرر إدخاله إلى قسم الحواضن في مشفى المشرق للمتابعة الطبية.

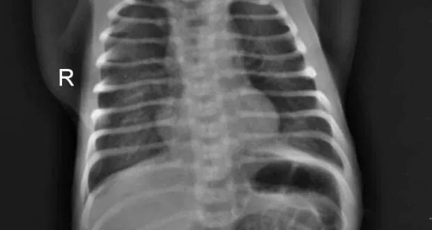
بعد ٦ ساعات، أظهرت صورة الصدر علامات داء الأغشية الهلامية، وتمت معالجته بالمراقبة السريرية والشعاعية والتمريضية الدقيقة، مع دعم بالأوكسجين عبر قنية أنفية بتركيز ١ل/د، بالإضافة إلى السوائل الوريدية والتغطية الانتانية التخبرية.

في اليوم الثالث للولادة، تدهورت حالة الطفل مع ازدياد الاعتماد على الأوكسجين وازدياد صعوبة التنفس. تم إجراء صورة صدر بوضعية الوقوف أظهرت ريح صدرية ثنائية الجانب. تم استشارة د.جوني نادر (أخصائي في جراحة الأطفال) وتقرر إجراء تفجير صدر إسعافي بالجهتين.

تم إجراء التفجير مع تحسن فوري للطفل وتراجع علامات صعوبة التنفس خلال ساعات قليلة وتحسن الحالة العامة والحيوية.

في اليوم التالي للعمل الجراحي، تم إدخال التغذية (حليب والدي تنقيط فموي ومراقبة التحمل الهضمي) مع تقييم مخبري شامل كانت نتائجه طبيعية مع عدم تطور أي علامة لانتان الدم. كما تم إجراء إيكو قلب للطفل بيد د.سوزان محفوض (أخصائية بالأمراض القلبية عند الأطفال) وتبين وجود فتحة بين البطينات للمراقبة.

تمت إزالة المفجرات تباعاً خلال اليومين التاليين مع تقبل هضمي جيد للإرضاع الوالدي والفطام الكامل للطفل عن الأوكسجين، وتخرج الطفل بتاريخ ٢٠٢٥/٨/١٢ وهو بصحة جيدة وبدون أي اختلاطات.

وتؤكد إدارة المشفى أن مشفى المشرق يؤمن بأن الطب رسالة قبل أن يكون مهنة، وأن كل حالة شفاء تسجل هي دليل على الالتزام بتقديم الرعاية الأمثل وحماية حياة المرضى، ووضع العلم والإنسانية في أولوية كل خطوة.

(أخبار سوريا الوطن 1-مشفى المشرق)

مشاركة المقال: